1本のインプラントに、
人生を取り戻す力がある。
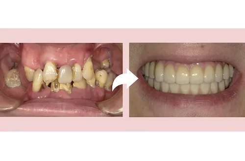
年齢を重ねた方にとって、歯を失うことは、見た目だけでなく
「食の楽しみ」や「人とのつながり」までも、静かに奪っていくものです。
そこで私たちは、歯を“ただ補う”のではなく、「噛む力」「自信」「誇り」を回復させる医療を目指すことにしました。1本のインプラントには、咀嚼機能の回復、美しさ、自信──そして人生の質までも詰まっています。
私たちが提供するのは、単なる治療ではなく、「自分らしい人生」を取り戻すための再出発です。
静かに、しかし力強く。その回復の道を、ともに歩んでいただけたらと願っています。























